Dental Implants in Poway, CA
Dental Implants in Poway, CA
Expert Dental Implant Services by a Board-Certified Periodontist in Poway
Are you struggling with tooth loss and looking for a trusted dental implant specialist in Poway or North County San Diego? Look no further than Poway Perio, where Dr. Alireza Khansari, DDS, MSD—a highly trained periodontist—and his team specialize in advanced dental implant care. We proudly serve patients from Poway, San Diego, and nearby communities, including Scripps Ranch, Rancho Bernardo, Ramona, 4S Ranch, Carmel Mountain, Escondido, Mira Mesa, and Rancho Peñasquitos.
Dental implants replace missing teeth while preserving jawbone health, preventing bone loss, and maintaining your natural facial structure. Experience the stability and functionality of dental implants, providing a long-term solution without compromising adjacent teeth, especially for patients who have lost teeth due to early-onset gum disease. Take the first step toward restoring your smile and confidence. Call 📞 858.679.0142 or schedule an appointment.
Why You May Need Dental Implants
Dr. Alireza Khansari at Poway Perio often recommends dental implants for individuals experiencing tooth loss due to injury, decay, or periodontal disease. Beyond filling the gap, implants prevent bone loss, maintain jawbone structure, and prevent neighboring teeth from shifting, ensuring proper alignment.
These implants offer exceptional stability and functionality, integrating seamlessly with the jawbone for a secure fit. Unlike removable options, implants provide a long-term, durable solution without compromising adjacent teeth, promoting confidence and preserving oral health for a lifetime with proper care. Additionally, we can incorporate Platelet-Rich Plasma (PRP) therapy during implant procedures to stimulate bone regeneration and further accelerate healing.
What Are Dental Implants?
Missing one or more teeth can affect your comfort, confidence, and oral health. There are many ways to replace teeth, from wearing a retainer with a tooth (or teeth) on it to getting a fixed bridge or dental implants, which look and feel like natural teeth. With dental implant restoration from Poway Perio, you can replace missing teeth with permanent results.
Dental implants are artificial tooth roots that provide a permanent base for fixed, replacement teeth. Compared to dentures, bridges, and crowns, dental implants are a popular and effective long-term solution for people who suffer from missing teeth, failing teeth, or chronic dental problems. Because they fit, feel, and function like natural teeth, dental implants are quickly becoming the new standard in tooth replacement.
Here’s a little bit more information on dental implants, how they work, and their benefits.
Dental implants typically have three parts:
1) The implant: A screw that serves as a root for your new teeth. This is what permanently attaches to your jaw.
2) The abutment: A permanent, but removable by your doctor, connector that supports and holds a tooth or set of teeth.
3) The crown (or prosthetic tooth): This is the part of the tooth that you can see. It’s usually made of zirconium or porcelain for durability and good looks.
If you’re considering dental implants, you may also benefit from Waterlase laser treatment for soft tissue management and faster healing
If you’re ready to learn more, watch our Dental Implant video, check out our FAQs, call 858.679.0142 or book a consultation.
How Dental Implants Work
Understanding the process can help you feel confident and prepared before your dental implant procedure. At Poway Perio, we follow a proven, patient-focused approach to ensure comfort, precision, and long-term success:
Personalized Consultation
Your journey begins with a thorough exam and 3D imaging to evaluate your bone health, gum condition, and overall oral health. We’ll discuss your treatment goals and determine if you need any preparatory procedures, such as bone grafting, before implant placement.
Implant Placement
During a minimally invasive surgical appointment, a small titanium post is placed into your jawbone to act as the new tooth root. This biocompatible post gradually fuses with your bone in a process called osseointegration, creating a stable foundation for your new tooth.
Healing Period
Over the next few months, the implant integrates securely with your jaw. We’ll monitor your progress and provide care guidelines to support fast, healthy healing.
Abutment & Crown Placement
Once healing is complete, an abutment is attached to the implant, and your custom-made crown is secured in place. The crown is designed to match your surrounding teeth in color, shape, and function, blending seamlessly with your smile.
Ongoing Maintenance
Regular checkups and professional cleanings are essential to protect your implant and surrounding gum tissue, ensuring your results last a lifetime.
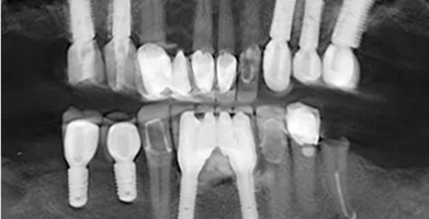
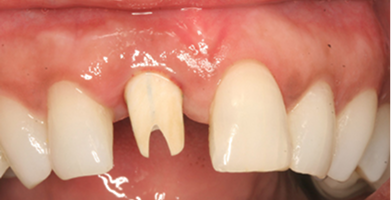
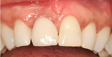
Dental Implant Before & After Results
Understanding the process can help you feel confident and prepared before your dental implant procedure. At Poway Perio, we follow a proven, patient-focused approach to ensure comfort, precision, and long-term success:
Single Implants
Ideal for replacing one missing tooth without affecting surrounding teeth.
BEFORE
AFTER
Multiple Implants
Used to restore several missing teeth or support a full arch restoration.
BEFORE
AFTER
Explore real patient transformations and the difference that expert implant care can make. Book a consultation today or call 858.679.0142.
Dental Implants Near You
Experience the stability and confidence of dental implants with Poway Perio. Dr. Khansari is skilled in implant placement, helping patients in Poway and surrounding areas like Carmel Mountain Ranch, Rancho Bernardo, Miramar, Rancho Peñasquitos, 4S Ranch, Scripps Ranch, Carmel Valley, Escondido, and Mira Mesa.
Visit us for a consultation at 12630 Monte Vista Rd, Suite 204, Poway, CA 92064, or call 858.679.0142.
Frequently Asked Questions About
Dental Implants
Who can benefit from a dental implant?
However, those are more short-term solutions that may also cause more negative consequences, like increased tooth decay, compared to dental implants. Dental implants, by contrast, are the most long-term solution that won’t damage adjacent teeth and help patients feel like they never lost any teeth.
How do dental implants work?
Typically, the dental implant process has a few steps. These steps begin with your regular dentist and end with a periodontist. Periodontists are only needed to do the surgical element, while the dentist takes care of the restoration.
- A Consultation: Everyone is different, so it’s important there’s a one-on-one consultation with your regular dentist to make sure the best periodontal plan and procedures are selected. If it’s determined that a dental implant is the best choice for you, the next appointments will be set up.
- The Surgical Appointment: Preparing the Implant Site: At the initial surgical appointment, the implant site will be prepared to receive the implant. The titanium screw will be placed in the surgical site. Gum tissue will be sutured over the implant. After this, the implant will need 3 – 5 months to heal because the bone needs to fully fuse and integrate with the implant. People heal and progress at different rates, so the exact amount of time will vary a bit person to person within that 3 – 5 month time frame.
- Getting a Temporary Crown & Tooth Impression: The next appointment will be with Dr. Khansari. After the bone has been fused, the implant is uncovered. The replacement tooth is anchored to the appropriate attached post. An impression of this post is taken and sent to the lab for an implant crown to be created; this crown will be the final part that looks and feels like a real, natural tooth. Until that tooth is created, a temporary crown (a temporary tooth look alike) is put in its place.
- Getting a Permanent Crown: At the final appointment with Dr. Khansari, the temporary crown will be replaced with a permanent crown that’ll truly look and feel like a real tooth. It’s secured with permanent cement that’ll have you able to chew, eat and talk like normal.
There may be one extra step besides these 4. If a patient doesn’t have enough bone to fuse and integrate with the implant (as seen in Step 2) the patient will need to have a bone grafting procedure done. At the consultation, you will be able to find out if this step is needed. You can also learn more about this straightforward procedure on our Bone Grafting Page.
Does insurance cover dental implants?
Fortunately, most dental insurance policies do cover dental implants but this is based on the type of the policy that you have.
Many insurance companies are beginning to see the importance and long-term health benefits of dental implants, as of right now, it’s probably unlikely that your insurance company will cover the cost of dental implants. However, you can still file a claim in an attempt to get some sort of reimbursement.
Are dental implants safe?
Dentists have been using dental implants for a long time, and the technology has advanced quite a bit. Implants are now very sophisticated devices placed by heavily trained professionals. As of right now, it’s one of the strongest and most reliable ways to replace missing teeth. Although rare, problems with an implant are usually minor and fixable.
But just like any surgery, there are possibly complications that could occur. Potential dental implant complications include:
- Infection
- Damage to teeth, blood vessels, or nerves in the surgical area
- Implant rejection
- Sinus problems
- Material of replacement tooth and potential allergies (usually made of titanium or zirconia).
Do you offer weekend or evening appointment times for Poway residents?
Many patients in Poway have demanding weekday schedules due to work, school, or commuting. We understand the need for flexible care, which is why we offer convenient appointment options. Please contact our office to ask about current availability for early morning, evening, or weekend appointments.
Is there convenient parking near your Monte Vista office?
Yes, our Poway office at 12630 Monte Vista Rd, Suite 204, offers free and accessible parking. Whether you’re coming from nearby neighborhoods like Scripps Ranch or Rancho Bernardo, you’ll find it easy to reach us and park just steps from our front door.
How soon after dental implant surgery can I return to outdoor activities like hiking or biking?
Poway residents love staying active on local trails like Iron Mountain and Lake Poway. After your dental implant procedure, we typically recommend avoiding strenuous physical activity for at least 48–72 hours. We’ll provide personalized recovery guidelines at your post-op appointment to help you return safely to your favorite outdoor activities.
Do you accept dental insurance from Poway-area employers?
We work with a wide range of dental insurance providers commonly offered by employers in Poway and North County. Our team is happy to help you verify your coverage and explain your benefits.
Can you coordinate with my Poway general dentist for my implant treatment?
Absolutely. We regularly collaborate with general dentists throughout Poway and surrounding areas to ensure seamless care. If you’ve been referred to us for dental implants, we’ll maintain open communication with your dentist and share all necessary diagnostics, including 3D imaging and treatment plans. Learn more about our dental implant process and how we support your long-term oral health.
